mIHC

向下滑动

多重免疫组化mIHC


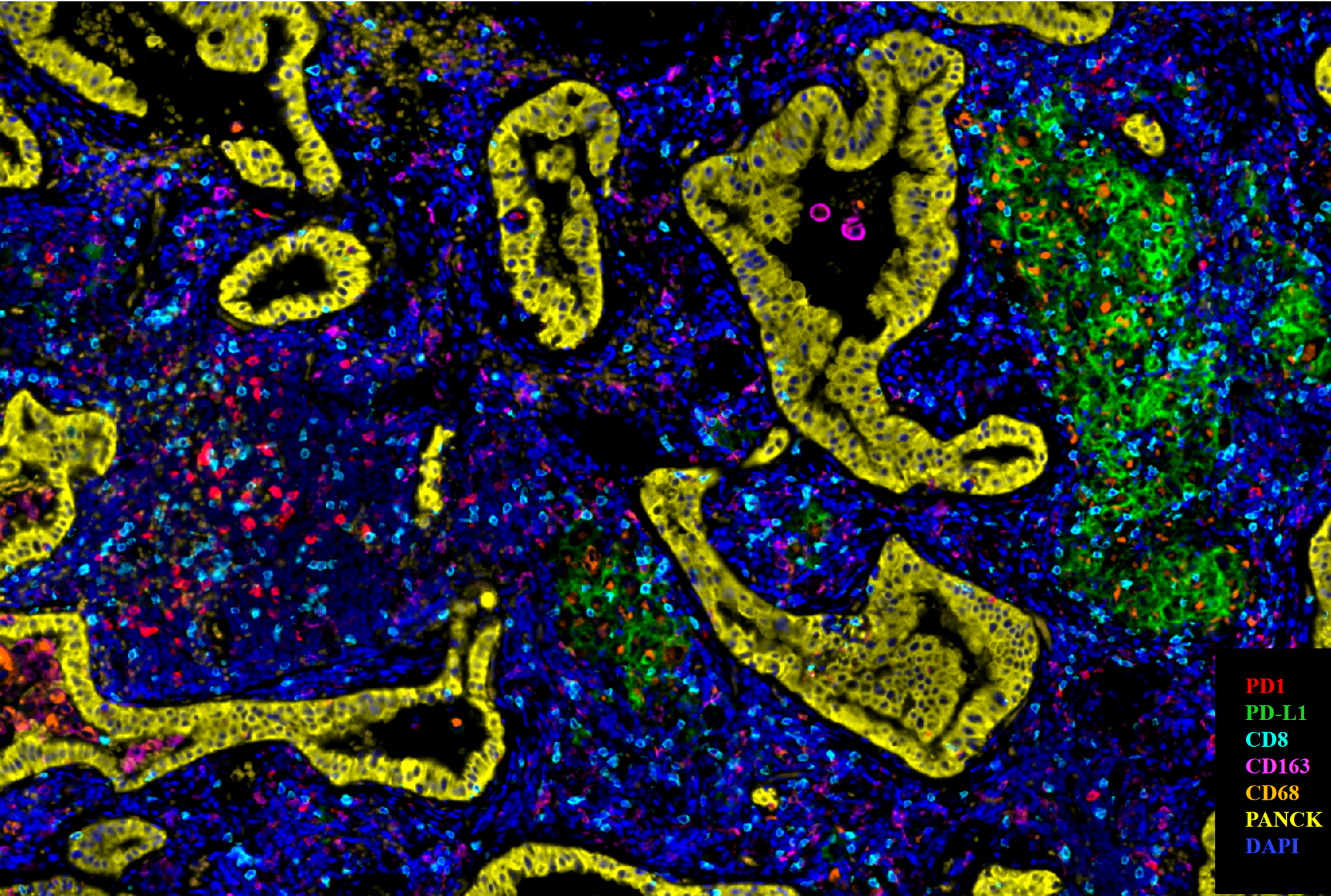
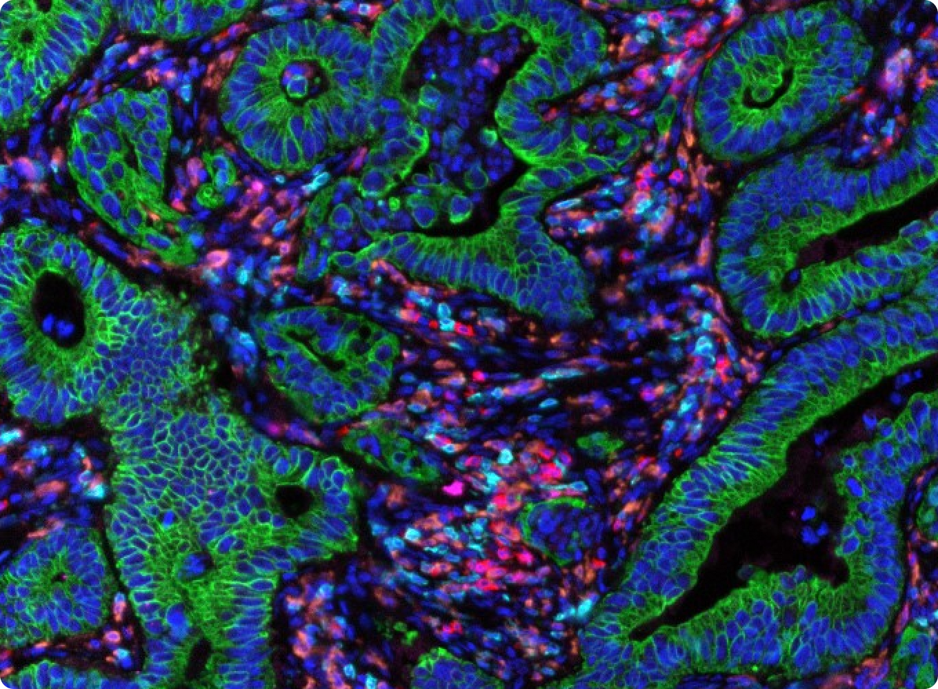
多重免疫组化技术(mIHC)近两年发展迅速,已经展示出强大的临床转化能力,解决了在同一张切片上进行多种生物标志物检测及共定位的难题。

mIHC在一张组织样本上复染多种分子标记,将多元信息呈现在同一画面内,配合特定软件进行全面分析,原位评估免疫细胞表型,获得各靶标数量、密度、百分比等数据,探寻组织微环境中的目标分子或不同类群细胞间的相互关系。这对于研究疾病的发生发展转移机制,探讨疾病诊断和治疗具有重要意义。


AlphaExplorer I/O®
免疫探索包

艾克发生物推出的AlphaExplorer I/O® 21个免疫探索包panels针对肿瘤微环境不同科研方向进行了精心设计,所有 panels都进行过实操、验证、个性化数据分析等一整套流程,因此大大节约了预实验的时间和成本,做到ready-to-go,包括TME中巨噬细胞,三级淋巴结构,肿瘤浸润淋巴细胞,髓源性抑制细胞,肿瘤相关中性粒细胞,免疫检查点等多个研究对象。

Copyright © 艾克发(北京)生物技术有限公司 版权所有 备案号:京ICP备2021017346号 网站维护