类风湿性关节炎(Rheumatoid Arthritis, RA)是一种慢性、系统性自身免疫疾病,主要影响关节,但也可以对身体其他部分造成影响。在当前医学研究和临床实践中,了解RA的病理机制对于开发新的治疗方法至关重要,尤其在缓解疾病加重和防止关节破坏方面。
2024年11月1日中山大学第一附属医院关节外科盛璞义教授、张紫机主任医师与精准医学研究院彭穗教授团队在风湿病学领域顶级期刊Annals of the rheumatic diseases(IF=20.3)上发表题为“ITGA5+ synovial fibroblasts orchestrate proinflammatory niche formation by remodelling the local immune microenvironment in rheumatoid arthritis”的研究论文[1]。该研究旨在全面评估RA患者滑膜组织中滑膜成纤维细胞(Fbs)的表型异质性和其在炎症反应中的作用,为RA的诊断和治疗提供了新的靶点和策略。研究者通过单细胞RNA测序(scRNA-seq)和空间转录组学(ST),绘制了RA和骨关节炎(OA)患者的滑膜组织细胞聚类,分析了19名患者的样本,其中15名为不同疾病活动状态的RA患者(9名活动期患者和6名缓解期患者)及4名OA患者,共计169,797个细胞。经研究发现,滑膜中存在多个细胞亚簇,包括不同类型的Fbs、巨噬细胞、树突状细胞以及T、B淋巴细胞等。特定的Fbs和髓系细胞在活跃期RA患者中显著增加,而在缓解期RA患者中则以其他亚型Fbs和内皮细胞为主,这表明细胞组成与疾病状态存在关联。

图1.OA和RA患者滑膜组织单细胞图谱(源自论文[1])
该研究揭示了滑膜Fbs亚群的显著异质性,识别出九个独特亚群:PRG4+滑膜上皮Fbs和THY1+滑膜下皮Fbs,反映了滑膜组织的复杂性;CLIC5+PlRG4+Fbs表达CRATC1、TSPAN15和CD55等关键基因,表明其在维持细胞外基质完整性中发挥关键作用;MMP3+VCAM1+Fbs与活化的滑膜上皮Fbs相似,尤其受年龄相关B细胞影响,参与免疫相互作用和滑膜炎症;其他高表达的滑膜上皮Fbs如CSN1S1、MT1X和AMTN则显示出多样的功能;HLA-DRAhiFbs可能通过上调主要组织相容性复合体Ⅱ类分子参与适应性免疫反应,而DPP4+PI16+CD34+Fbs被认为是各种Fbs的基质前体;此外还发现了一个新型的ITGA5+Fbs亚群,其转录特征与发育、代谢、血管生成及免疫调节相关,在活跃期RA患者中的比例显著增加,表明其可能在调节软骨发育和炎症反应方面具有潜在的治疗作用。
图2.OA、缓解期/活动期RA患者滑膜组织中的不同成纤维细胞群(源自论文[1])
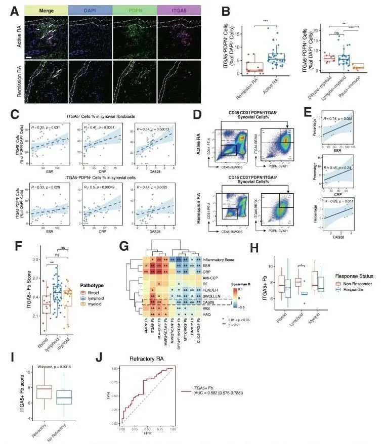
研究者采用多重免疫组化(mIHC)实验发现在活动期RA患者中,ITGA5+PDPN+滑膜细胞的比例显著增加,并且与疾病活动呈正相关。研究者通过流式实验和去卷积分析,确认了ITGA5+Fbs在滑膜和外周血中的独特转录组及其与疾病活动的关联,特别是在淋巴型滑膜组织中显著上调。ITGA5+Fbs在非应答者的淋巴型滑膜中也上调,并且其比例对难治性RA具有预测价值。这些发现表明ITGA5+Fbs可能与淋巴细胞相关,且在活动期RA中发挥重要作用,并可能成为难治性RA的潜在治疗靶点。
图3.ITGA5+滑膜Fbs的鉴定及在大型队列数据集中的验证(源自论文[1])
4.活动期和缓解期RA患者的不同滑膜Fbs分化谱系研究者探究了RA中Fbs的分化轨迹,重点关注了从DPP4+PI16+CD34+祖细胞起始的细胞分化过程,祖细胞逐渐分化为不同的Fbs亚群,包括ITGA5+Fbs(T1)、MMP3+VCAM1+Fbs(T2)和CLIC5+PRG4+ Fbs(T3),并且存在一个中间的 MMP2+VCAN+Fbs群体。在细胞分化的过程中,T1与胶原蛋白及细胞外基质(ECM)组分的增加相关,T2可能涉及Toll样受体信号通路,而T3可能与细胞衰老相关的转录因子CUX1上调有关。

图4.ITGA5+滑膜Fbs以及人滑膜Fbs细胞轨迹(源自论文[1])
5.ITGA5+滑膜Fbs与CD4+PD1+T细胞的相互作用研究者还发现ITGA5+Fbs比例与促炎性髓系细胞和不同T淋巴细胞亚群呈正相关,提示Fbs在促炎微环境中发挥重要作用。研究者通过CellChat和CellPhoneDB分析发现活跃期RA中基质和免疫细胞间的配体-受体相互作用显著上调,涉及破骨细胞激活、血管生成和Fbs增殖等过程。此外活跃期RA中Fbs和T细胞的相互作用显著增强,尤其是Fbs与PD−1hiCXCL13hiTPHs(外周辅助T细胞)及PD−1hiCXCL13loTPHs细胞的相互作用。通过空间转录组分析进一步发现ITGA5+Fbs在淋巴细胞浸润区域的富集,并与PD−1hiCXCL13hiTPHs显著相关。
图5.解析ITGA5+滑膜Fbs的相互作用以及活动期RA滑膜ITGA5+Fbs与T细胞之间相互作用增加(源自论文[1])
6.ITGA5+Fbs可能通过TGF-β1信号通路诱导PD−1hiCXCL13hiTPHs细胞的分化在活跃期RA患者的滑膜组织中,PD−1hiCXCL13lo和PD−1hiCXCL13hi T细胞的比例显著增加,后者表达CXCL13、IL21和MAF,并伴随转录因子如FOXJ3、KLF8、SP1和CEBPA的上调。高表达的CXCL13可能通过CXCL13-CXCR5通路与B细胞相互作用。空间转录组数据表明,PD−1hiCXCL13hiT细胞与记忆B细胞在组织中位置邻近。单细胞T细胞受体分析揭示PD−1hiCXCL13lo和PD−1hiCXCL13hiT细胞在活跃期RA患者中存在扩增的现象,轨迹分析显示二者向T1和T2分化的路径不同,且TGF-β信号通路的上调表明其在CD4+T细胞向PD−1hiCXCL13hiT细胞的分化中发挥关键作用。研究者通过mIHC实验发现活跃期RA患者的CD4+PD−1hiT细胞比例高于缓解期患者,且CXCL13表达上调。ITGA5+滑膜Fbs聚集在CD4+PD−1+T细胞周围,表明它们可能存在相互作用。研究者通过共培养实验发现,ITGA5+滑膜Fbs分泌的TGF-β1能够有效诱导初始CD4+T细胞向CD4+PD−1hiCXCL13hiT细胞分化。这些结果表明,ITGA5+滑膜Fbs通过分泌TGF-β1促进CD4+T细胞分化,进而维持促炎微环境。
图6.缓解期和活动期RA滑膜中不同淋巴细胞亚群(源自论文[1])
7.ITGA5+Fbs是RA滑膜炎症和关节破坏的原因ITGA5+Fbs与RA滑膜炎症和关节破坏密切相关。研究者假设ITGA5+Fbs能在促炎微环境中诱导初始CD4+T细胞转化为PD-1hiCXCL13hiT细胞,并在关节炎早期发挥重要作用,通过建立胶原蛋白诱导关节炎DBA/1小鼠模型,分析了不同阶段的CD45−CD31−PDPN+ITGA5+滑膜Fbs的比例及其表型,结果显示,关节炎晚期的骨侵蚀和滑膜炎更为严重,而早期阶段ITGA5+Fbs的比例上升,细胞因子(如CCL5、TNFSF11、MMP9和MMP13)表达增加,表现出免疫效应特征。研究者向小鼠关节内注射ITGA5+Fbs导致了更严重的炎症反应和关节损伤,而TGF-β1注射也导致类似效果,CXCL13和PD−1hiCXCL13hiT细胞的表达在早期和晚期均上调,表明ITGA5+Fbs可能在TPHs聚集和分化中起关键作用,并在早期RA中扮演重要角色。
图7.ITGA5+滑膜Fbs在胶原蛋白诱导性关节炎的不同阶段调节滑膜炎症和组织重塑本研究中涉及的mIHC实验(Panel1:ITGA5、PDPN、DAPI;Panel2:CD4、PD-1、CXCL13、DAPI;Panel3:CD4、CD27、ITGA5、PDPN、PD-1、DAPI)利用艾克发生物的AlphaXTSA®多靶点免疫组化染色试剂盒(CAT#AXT36100031)直观检测到ITGA5+滑膜Fbs的相关特征,并分析其在RA患者中的作用。
Panel1:ITGA5、PDPN、DAPI
Panel2:CD4、PD-1、CXCL13、DAPI
Panel3:CD4、CD27、ITGA5、PDPN、PD-1、DAPI
本文揭示了RA患者滑膜微环境中免疫细胞和固有细胞的组成,首次鉴定了滑膜ITGA5+Fbs亚群,揭示其在RA的临床意义,提出CD45-CD31-PDPN+ITGA5+Fbs与CXCL13hiPD-1hiTPHs互作新机制,为RA的精准治疗提供了新策略和潜在靶点,为理解RA的病理过程提供了新的视角。
全文获取:
关注公众号,后台回复“RA”获取文献原文
艾克发生物成立于2018年,总部位于北京,核心团队成员均毕业于国内外著名高校,具备丰富的空间及功能组学产品开发和临床转化经验。
作为一家专业从事空间/功能多组学的临床转化及应用,致力于推动中国个性化精准医疗的高科技企业,艾克发生物始终致力于通过新型免疫检测技术为患者提供个性化精准诊断、药物疗效及预后监测手段。公司围绕着单细胞蛋白质组学(单细胞空间蛋白组学和单细胞功能蛋白组学)开展相关研发工作,涵盖临床全样本类型(包括组织样本和血液、体液样本)。公司已获得数十项发明专利,AlphaXTSA®7色试剂盒产品已于2022年7月成为国内首个获得 IVD 认证的产品,并陆续有更多产品获得IVD认证。现已获得国家高新技术企业、中关村高新技术企业和北京市“专精特新”中小企业、北京市2024年第一批科技型中小企业认定及知识产权试点单位等资质荣誉;通过了“ISO 9001”质量管理体系认证、“ISO 13485”质量管理体系认证、GMP体系认证、知识产权质量体系认证。创新点亮生命之光——创新的技术和产品促进中国精准医疗技术的发展和进步,是公司的愿景和使命。参考文献
[1]Zheng L, Gu M, Li X, Hu X, Chen C, Kang Y, Pan B, Chen W, Xian G, Wu X, Li C, Wang C, Li Z, Guan M, Zhou G, Mobasheri A, Song W, Peng S, Sheng P, Zhang Z. ITGA5+ synovial fibroblasts orchestrate proinflammatory niche formation by remodelling the local immune microenvironment in rheumatoid arthritis. Ann Rheum Dis. 2024 Nov 1:ard-2024-225778. doi: 10.1136/ard-2024-225778. Epub ahead of print. PMID: 39486872.